Премиальные центры стоматологии
Красноярск, ул. Урванцева, д. 12: ул. Партизана Железняка, д. 32
Пн.–Пт. с 9.00 до 21.00
Сб.–Вс. с 10:00 до 18:00
Сб.–Вс. с 10:00 до 18:00
Адрес клиники:
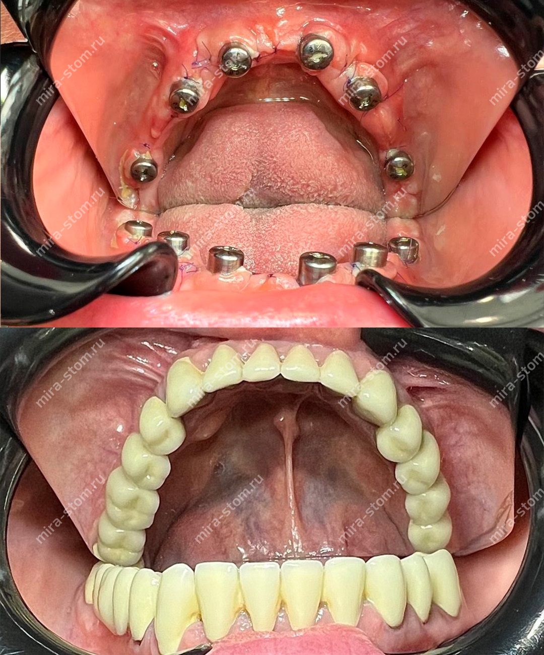
максимально естественный внешний вид
Верните зубы за 1 день с пожизненной гарантией
Акция до загрузка...
Это ни к чему Вас не обязывает
Зафиксируйте стоимость сегодня и закрепите за собой бесплатный КТ-снимок
Имплантация зубов
от 2600 ₽/мес
от 2600 ₽/мес
Бесплатная консультация врача-имплантолога
Бесплатная компьютерная томограмма перед имплантацией
Cоставление
индивидуального
плана лечения
индивидуального
плана лечения
Бесплатные профилактические осмотры на гарантийный период
Бессрочная гарантияна хирургическую операцию по установке имплантата
27 000 рублей
Имплантация зубов в нашей клинике доступна каждому. Еще до начала врач предоставит полный расчет стоимости и зафиксирует цену под ваш случай.
Для пенсионеров — особый подход и поддержка на каждом этапе. Записывайтесь — осталось 6 мест
Не ждите, пока станет поздно! Фиксируйте цену на имплантацию
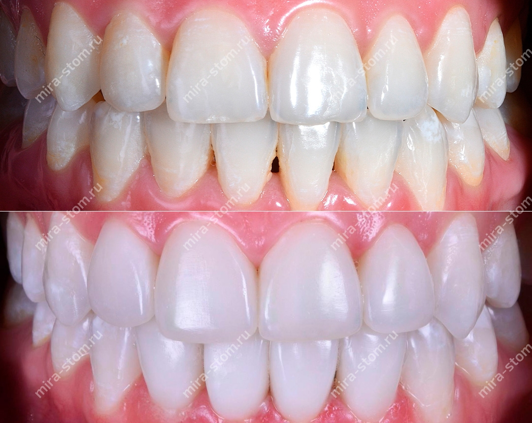
Счастливые пациенты — наша главная мотивация и самая высокая награда:
Узнайте стоимость имплантации и получите БЕСПЛАТНО:
Рассчитайте стоимость лечения и получите
ПОДАРКИ
ПОДАРКИ
Акция до загрузка...
Налоговый вычет, возврат НДФЛ 13%
10 лет гарантии на имплантат от производителя
Профилактические осмотры на гарантийный период — 0 ₽
КТ-снимок зубов с расшифровкой, и индивидуальный план лечения — 0 ₽
Консультация врача-имплантолога — 0 ₽
Современная цифровая
зуботехническая лаборатория
зуботехническая лаборатория
Используем дентальный микроскоп
Дезинфекция и инфекционная безопасность
Безопасный рентген и томограф
Профессиональная гигиена и отбеливание
Без боли
Для любого возраста
Лечение под микроскопом
Высокотехнологичные подходы к лечению
Финансовый расчёт с учётом всех возможных скидок «под ваш бюджет»
Компьютерная томограмма перед имплантацией
Консультация специалиста с опытом в эстетической имплантации более 18 лет
Стоматолог-хирург, имплантолог, главный врач
Стрелков Михаил Михайлович
Это абсолютно бесплатно, но даст Вам:
Запишитесь на диагностикуи получите
персональный план восстановления зубов
персональный план восстановления зубов
Запишитесь на бесплатную диагностику к хирургу-имплантологу
Информация, указанная на сайте, не является публичной офертой.
Имеются противопоказания, необходима консультация специалиста.
Имеются противопоказания, необходима консультация специалиста.